Role of Corpectomy in Spine Surgery

Corpectomy is a surgical procedure of removing the entire or a part of the vertebral body which involves decompression of neural elements and maintaining sagittal balance of the spine. Corpectomy is a technically demanding procedure with increased risk of postoperative morbidity. However, this procedure is done in selected cases, to remove anterior neural compression, deformity correction, tumor resection and in cases where anterior support is needed (trauma and infection).
A case series with corpectomy from cervical to lumbar level performed during the last year is presented. Conditions which included were degenerative, deformity, trauma, infection and tumors.
Background
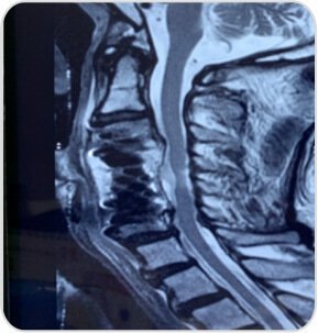
A 70 year old male presented with left upper limb radiculopathy, difficulty in walking due to imbalance with posterior column involvement and brisk reflexes and Babenski sign positive. MRI shows significant cord compression with myelomalacia changes.
Diagnosis and Treatment
Corpectomy and stabilization procedure was performed at the level of C4, C5.

Pre-op MRI showing significant cord compression

C-arm image showing implant

Post op MRI showing significant cord decompression












Appointment
Call
More