Left Adrenal Tumour Excision

Background
60 years old male patient came with de novo hypertension with BP: 180/100 mm Hg in supine position. Occasional history of palpitation was present. No past history of any surgery. Left adrenal tumour was detected on routine health checkup.
Diagnosis And Treatment
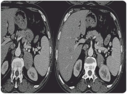
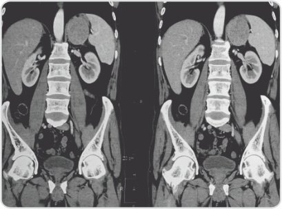
CT report shows evidence of well defined homogenous dense soft tissue lesion with few central hypodensities involving body and medial limb of left adrenal gland of 62x49x55mm, abutting lower pole of spleen, greater curvature of stomach and upper pole of left kidney.
Left adrenal mass with solid and necrotic areas – Left Adrenal Cortical Carcinoma.
Right kidney, right adrenal, liver, spleen, pancreas and gall bladder normal.
Left retro peritoneoscopic adrenalectomy done without any adverse events. Patient was discharged on the third post op day.
S. creatinine & electrolytes: Normal, Plasma metanephrines &
24 urinary metanephrines : Normal, Random cortisol : Normal
HPE: showed Pheochromocytoma

Excised Pheochromocytoma


Axial and Coronal ct scan image showing left adrenal tumour













Appointment
Call
More