Video-Assisted Thoracoscopic Surgery of Solitary Fibrous Pleural Tumor

Background
A 51 years old male patient came with a history of dyspnoea on exertion and purulent cough since 6 months. Pleural fluid aspiration was performed -6 times over 2 months. (1 – 1.5 litres of hemorrhagic pleural fluid was aspirated)
Diagnosis And Treatment
Routine Investigations – WNLPFT: FVC – 1.26 FEV1 – 1.1 FEV1/FVC – 87.1ECHO – normal LV function, No RWMA
CT scan showed two large heterogenously enhancing pleural based soft tissue density lesions with neovascularity in right hemithorax measuring 14.3×13.4×11.5cm and 7.9×7.5×6.1cm. Surgery – Pleural aspiration was done and 2 litres of fluid was drained. Patient developed hemodynamic instability and was resuscitated in OT. Right posterolateral thoracotomy was performed and the tumor was removed under VATS

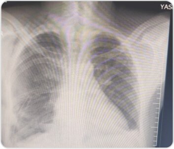
Pre procedure chest radiographs showingmassive right pleural effusion

CT scan showing solitary fibrous right pleural tumor


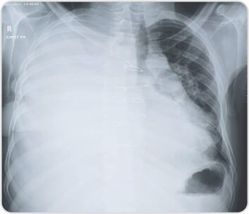
Post op chest X ray

Right pleural tumor
About Author –
Dr. Balasubramoniam K R, Consultant Minimally Invasive and Robotic Thoracic Surgeon, Yashoda Hospitals – Hyderabad
MS (General Surgery), MCh (CTVS)
About Author
About Author –
Dr. Siva Prasad Goud
MBBS, DNB (CVTS) Robotic & Minimally Invasive Thoracic Surgeon
Yashoda Hospitals, Secunderabad














Appointment
Call
More