Central Pancreatectomy

Background
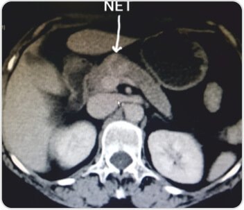
A 54 year old female patient came with a history of upper abdomen pain on and off since 3 months.
Diagnosis And Treatment
CECT abdomen shows a 2.5 cm mass in the neck of the pancreas. Whole body PET-CT shows no other site of disease. EUS guided FNAC gives a diagnosis of neuroendocrine tumor of pancreas. Patient underwent central pancreatectomy and Roux-en-y pancreaticojejunostomy. Procedure was uneventful and the patient was discharged after 5 days.




About Author –
Dr. Sreekanth CN, Consultant Surgical Oncologist, Yashoda Hospital, Hyderabad
MS, M.Ch (Surgical Oncology)














Appointment
Call
More