Fluoroscopy Guided Removal of Dislodged IV Canula Shaft

Background
A 55 year old male was admitted in the outside hospital for acute febrile illness. After 1 week of management, the patient was planned for discharge. During removal of IV canula before discharge, the canula got cut accidentally and its plastic shaft got dislodged into the venous system of the patient. The patient was referred to our hospital for removal of canula shaft.
Diagnosis And Treatment
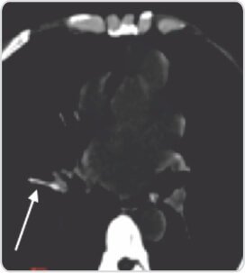
CT scan of thorax was done which revealed dislodged canula tip in anterior segmental branch of right descending pulmonary artery. The patient was planned for cardiothoracic surgery for removal of IV canula shaft. Before the surgery, the interventional radiologist’s opinion was taken, and the patient was taken up for fluoroscopy guided removal.
Under fluoroscopic guidance, the tip of the canula was identified as a linear filling defect in anterior segmental branch of right descending pulmonary artery.Usinga15mm endovascular snare, the tip of the IV canula was snared out without any complication. The patient was discharged on the next day

Proximal residual hub of IV canula

Linear hyperdense foreign body embolized into anterior segmental branch of right descending pulmonary artery

ractured peripheral intravenouscanula with snare and guiding catheter

canula tip post retrieval
About Author –
Dr. Suresh Giragani, Consultant Neuro & Interventional Radiologist, Yashoda Hospitals – Hyderabad
MD (Radiology), DM (Neuroradiology)
Specialized in the comprehensive and widest range of vascular interventions covering neuro interventions, hepatobiliary interventions, venous, peripheral vascular interventions and interventions in cancer care.
About Author –
Dr. Hari Kishan Gonuguntla, Consultant Interventional Pulmonologist, Yashoda Hospitals, Hyderabad
MD, DM (Pulmonology Medicine), Fellowship in Interventional Pulmonology (NCC, Japan)
















Appointment
WhatsApp
Call
More