Balloon Bronchoplasty of Tubercular Stenosis

Background
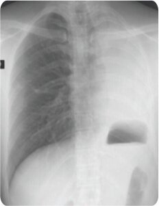
A 30 year old male with a history of Pulmonary Tuberculosis in 2010 & recurrence in 2018 came with a complaint of gradually progressive dyspnea over 2 years. He was presented with dyspnea even at rest and symptoms and signs of pleurisy.
Diagnosis And Treatment
Fiber Optic Bronchoscopy revealed – Multi Level Fibrostenosis of the left main bronchus with complete obstruction of the distal LMB 2.7 cms from the primary carina and 1 cm above the second carina on the left side was noted.
Procedure – Repair of TB stenosis was done by Rigid Bronchoscopy and Balloon Bronchoplasty.
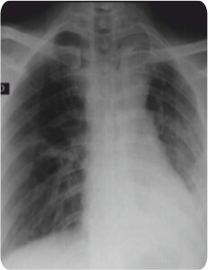
Post procedure – Luminal patency was achieved with visualization of distal segmental bronchii.
Radiological improvement was seen on X-ray 24 hrs post procedure.
Pre – Procedure
Step 1
Step 2
Post Procedure
Before
After
About Author –
Dr. Hari Kishan Gonuguntla, Consultant Interventional Pulmonologist, Yashoda Hospitals, Hyderabad
MD, DM (Pulmonology Medicine), Fellowship in Interventional Pulmonology (NCC, Japan)




















Appointment
Call
More