Trans Catheter Aortic Valve Implantation (TAVI) – Case-3

Discussion
TAVI has become a viable alternative to Surgical AVR in current practice. We share our experience of three cases in different risk groups and different anatomies. First case was done under general anesthesia with transesophageal echo guidance, the subsequent cases were done under conscious sedation with transthoracic echocardiography. All three patients are doing well at one month follow up.
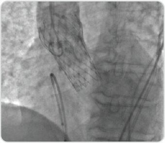
Case-3
80 year old lady presented with a history of high grade fever of 2 weeks duration and exertional syncope to us. PET-CT revealed miliary tuberculosis and severe calcific aortic stenosis. The patient was treated successfully with self-expanding 23 mm Evolute -R under conscious sedation and was discharged in a stable condition.

About Author –
Dr. Pramod Kumar K, Consultant Interventional Cardiologist, Yashoda Hospital, Hyderabad
MD (Cardiology), DM, FACC, FESC















Appointment
WhatsApp
Call
More