Trans Catheter Aortic Valve Implantation (TAVI) – Case-1

Discussion
TAVI has become a viable alternative to Surgical AVR in current practice. We share our experience of three cases in different risk groups and different anatomies. First case was done under general anesthesia with transesophageal echo guidance, the subsequent cases were done under conscious sedation with transthoracic echocardiography. All three patients are doing well at one month follow up.
Case-1
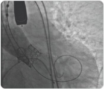
80 years old lady presented with effort intolerance of 6 months duration. Evaluated and found to have severe calcific aortic stenosis and normal coronaries. TAVI done successfully with 21.5 mm balloon expandable Myval (Meril, India).


About Author –
Dr. Pramod Kumar K, Consultant Interventional Cardiologist, Yashoda Hospital, Hyderabad
MD (Cardiology), DM, FACC, FESC













Appointment
Call
More