Implantable cardioverter defibrillator (ICD) Device Implantation at Yashoda Hospitals
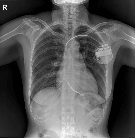
An implantable cardioverter defibrillator (ICD) is a small device implanted under the collarbone to monitor and treat life-threatening arrhythmias, helping prevent sudden cardiac death. It detects abnormal heart rhythms and can restore a normal rhythm by sending an electric shock. ICDs vary by type (single-chamber, dual-chamber, and biventricular) and may include features like data storage and remote treatment options. They are used for arrhythmias like ventricular tachycardia and fibrillation, cardiac arrest history, or when medications are ineffective. Certain patients may qualify for a subcutaneous ICD (SICD), which is placed beneath the skin in the chest, just below the armpit.
At Yashoda Hospitals, Hyderabad, our expert team of cardiologists, physicians, and technicians ensures the most accurate and timely diagnosis and treatment procedures for all our patients. We offer world-class facilities, the latest treatments, and advanced technologies, which has made us one of the best hospitals in India. We are one of the best implantable cardioverter defibrillator hospitals, with the best ICD implantation specialists.
What’s the Current Cost of Implantable Cardioverter Defibrillators (ICD) devices in India?
Depending on various factors, such as the type of ICD, duration of the hospital stay, expertise of the cardiologist, etc., the cost of an implantable cardioverter defibrillator ranges from Rs. 1,80,000 to Rs. 3,40,000. It costs approximately Rs. 2,80,000.











Appointment
Call
More