ম্যালিগন্যান্ট রূপান্তর ছাড়াই অল্প বয়স্ক প্রাপ্তবয়স্কদের প্রক্সিমাল ফিমারের একাকী বিশাল অস্টিওকন্ড্রোমা

অস্টিওকন্ড্রোমা হল একটি সৌম্য টিউমার যা হাড় এবং তরুণাস্থি উভয়ই ধারণ করে, সাধারণত লম্বা হাড়ের শেষের দিকে ঘটে। এই টিউমারগুলি অত্যধিকভাবে বিচ্ছিন্ন ক্ষত (90%) হিসাবে পাওয়া যায় যদিও এটি একাধিক বংশগত এক্সোস্টোসের একটি অংশ হিসাবে উপস্থিত হতে পারে।
অস্টিওকন্ড্রোমা প্রায় নিশ্চিতভাবে একটি এপিফাইসিসে হাড়ের বৃদ্ধির একটি স্থানীয় ব্যাঘাতের ফলাফল যার ফলে এপিফাইসিল কার্টিলেজের একটি অংশ হাড়ের মেটাফাইসিল সেগমেন্টের পেরিওস্টিয়ামে থাকে এবং তারপরে এন্ডোকন্ড্রাল ওসিফিকেশন ঘটে। সাধারণত মেটাফিসিল কর্টেক্সের ধারাবাহিকতায় এবং কার্টিলেজ ক্যাপ প্রসারিত হওয়ার সাথে সাথে, এন্ডোকন্ড্রাল ওসিফিকেশন চলতে থাকে, যার ফলে অস্টিওকন্ড্রোমা বৃদ্ধি পায় এবং ক্রমাগত হাড়ের বৃদ্ধির সাথে অস্টিওকন্ড্রোমা এপিফাইসিস থেকে দূরে সরে যায় এবং হুক হয়ে যায়, এর অগ্রভাগ এপিফাইসিস থেকে দূরে নির্দেশ করে।
অস্টিওকন্ড্রোমা কঙ্কালের পরিপক্কতা না হওয়া পর্যন্ত বৃদ্ধি পায় এবং গ্রোথ প্লেটগুলি ফিউজ হয়ে গেলে বন্ধ হয়ে যায়, যদিও ক্যাপ থেকে ধীরে ধীরে বৃদ্ধি সময়ের সাথে চলতে পারে, এটি সাধারণত 30 বছর বয়সে বন্ধ হয়ে যায়।
একাধিক বংশগত এক্সোস্টোসের সাথে যুক্ত অস্টিওকন্ড্রোমা অঙ্গের দৈর্ঘ্যের অসঙ্গতি, বর্ধিত ফেমোরাল অ্যান্টিভারসন, ভালগাস অ্যাঙ্গুলেশন এবং অ্যাসিটাবুলার ডিসপ্লাসিয়া সহ উপস্থিত হতে পারে। সলিটারি অস্টিওকন্ড্রোমা সাধারণত তাদের আকার এবং অবস্থানের উপর নির্ভর করে উপসর্গবিহীন হয় খুব কমই নির্জন অস্টিওকন্ড্রোমা বার্সাল প্রদাহ, ব্যথা, নিউরোভাসকুলার কাঠামোর সংকোচন এবং ম্যালিগন্যান্ট অবক্ষয়ের সাথে যুক্ত।
ফেমোরো-অ্যাসিটাবুলার ইম্পিংমেন্ট সিনড্রোম এবং সায়াটিক নিউরোপ্যাথিতে প্রক্সিমাল ফেমোরাল অস্টিওকন্ড্রোমার ভূমিকা অর্থোপেডিক সাহিত্যে খুব কমই রিপোর্ট করা হয়েছে। পেশী, টেন্ডন, স্নায়ু এবং ভাস্কুলার কাঠামো সহ সংলগ্ন টিস্যুতে ভর প্রভাবের ফলে অ-কঙ্কাল বহির্মুখী জটিলতা হতে পারে।
স্নায়ু সংকোচন বিরল এবং অস্টিওকন্ড্রোমার সমস্ত ক্ষেত্রে এক শতাংশেরও কম ক্ষেত্রে উপস্থিত।
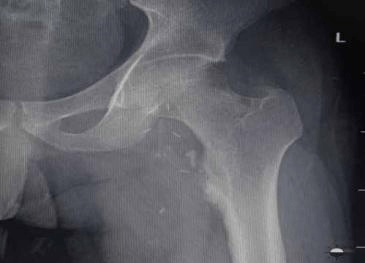
এখানে আমরা প্রক্সিমাল ফেমোরাল অস্টিওকন্ড্রোমার কারণে বাম নিতম্ব এবং উরুতে ব্যথা সহ একজন 28 বছর বয়সী পুরুষ উপস্থিত প্রতিবেদন করি। রেডিওগ্রাফ দেখায় ফুলকপির মতো ভর বাম প্রক্সিমাল ফিমার থেকে উদ্ভূত। বাম উরুর 3D CT স্ক্যান বিভাজনের কাছাকাছি ফেমোরাল জাহাজের সংকোচন পূর্ববর্তী স্থানচ্যুতি দেখায়। এই রোগীকে অস্ত্রোপচারের এন-ব্লক রিসেকশনের মাধ্যমে চিকিত্সা করা হয়েছিল এবং হিস্টোপ্যাথলজি অস্টিওকন্ড্রোমার ডায়াগনস্টিক ছিল।
অস্টিওকন্ড্রোমা বাম ফিমারের সাবট্রোচ্যান্টেরিক অঞ্চলের অ্যান্টেরো-মিডিয়াল দিকের উৎপত্তি যেখানে একটি বৃহৎ কার্টিলাজিনাস ক্যাপ সহ কম ট্রোক্যান্টারকে বিচ্ছিন্ন করে বিভাজনের কাছাকাছি ফেমোরাল জাহাজের সংকোচন পূর্ববর্তী স্থানচ্যুতি ঘটায়।

প্রি অপ

এক্স-রে করার আগে

3D সিটি স্ক্যান

3D সিটি স্ক্যান

ইন্ট্রা অপ

ইন্ট্রা অপ

ইন্ট্রা অপ

ইন্ট্রা অপ

প্রিওপ এক্স-রে

পোস্ট-অপ এক্স-রে
লেখক সম্পর্কে-
ডাঃ প্রেসিথ গাদ্দাম, কনসালটেন্ট অর্থোপেডিক সার্জন, যশোদা হাসপাতাল - হায়দ্রাবাদ
এমএস (অর্থো), ফেলো স্পোর্টস ইনজুরি এবং অর্থো ট্রমা (এনআইএমএস), ফেলো নী অ্যান্ড শোল্ডার সার্জারি, আর্থ্রোস্কোপি এবং স্পোর্টস মেডিসিন (জার্মানি)।
তার দক্ষতার মধ্যে রয়েছে প্রাথমিক হিপ এবং হাঁটু আর্থ্রোপ্লাস্টি, রিভিশন হিপ এবং নী আর্থ্রোপ্লাস্টি, অর্থোপেডিক ফিজিওথেরাপি, হাড়ের আঘাত, অঙ্গবিকৃতি সংশোধন, অঙ্গবিকৃতি এবং আর্থ্রোস্কোপি।




এপয়েন্টমেন্ট
WhatsApp
কল
অধিক