অনমনীয় ব্রঙ্কোস্কোপি – ক্রাইবায়োপসি অফ প্রোট্রুডিং ম্যাস – এন্ডোব্রঙ্কিয়াল ব্লকার (ফগার্টি বেলুন)

পটভূমি
60 বছর বয়সী অ্যালকোহলিক এবং ডায়াবেটিক রোগীর জ্বর, কাশি, ক্ষুধা হ্রাস এবং ওজন হ্রাসের অভিযোগ রয়েছে।
রোগ নির্ণয় ও চিকিৎসা
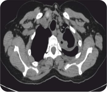
সিটি বুক বাম উপরের লোবে গহ্বরের ইঙ্গিত দেয়। এফওবি বাম উপরের লোব ব্রঙ্কাস থেকে পুস নির্গত হওয়ার পরামর্শ দিয়েছিল এবং বাম উপরের লোব ব্রঙ্কাসে একটি জমাট ভরের সাথে অনুগত। পরবর্তী ব্রঙ্কোঅ্যালভিওলার ল্যাভেজ প্রধানত নিউট্রোফিলিক ছিল। পাইজেনিক, ছত্রাক, যক্ষ্মা এবং নোকার্ডিয়ার জন্য দাগ এবং সংস্কৃতি নেতিবাচক ছিল। সাইটোলজি ম্যালিগন্যান্সির জন্য নেতিবাচক ছিল। ইনভেসিভ মিউকোরমাইকোসিসের একটি নির্ণয় করা হয়েছিল।
অনমনীয় ব্রঙ্কোস্কোপি + প্রোট্রুডিং ভরের ক্রায়োবায়োপসি + এন্ডোব্রঙ্কিয়াল ব্লকার (ফগার্টি বেলুন) করা হয়েছিল।
সিটি বুক - বাম উপরের লোবে গহ্বর
ব্রঙ্কোস্কোপি – বাম উপরের লোব ব্রঙ্কাস থেকে পুঁজ বের হওয়া
ব্রঙ্কোস্কোপি - বাম উপরের লোব ব্রঙ্কাসে ভর/জমাট বাঁধা
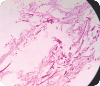
আক্রমণাত্মক মিউকার মাইকোসিস (ব্রড অ্যাসেপ্টেট হাইফা) এর প্রসারিত ভরের ক্রিবায়োপসি
লেখক সম্পর্কে-
ডাঃ বিশ্বেশ্বরন বালাসুব্রমানিয়ান, কনসালটেন্ট ইন্টারভেনশনাল পালমোনোলজি অ্যান্ড স্লিপ মেডিসিন, যশোদা হাসপাতাল, হায়দ্রাবাদ
এমডি, ডিএনবি, ডিএম (পালমোনারি-গোল্ড মেডেল), ফেলোশিপ ইন স্লিপ মেডিসিন (গোল্ড মেডেলিস্ট), ফেলোশিপ ইন ইন্টারভেনশনাল পালমোনোলজি (মালয়েশিয়া)




















এপয়েন্টমেন্ট
WhatsApp
কল
অধিক