কিউটেনিয়াস ইমপ্লান্টেশন সাবম্যান্ডিবুলার প্লিওমরফিক অ্যাডেনোমা: একটি অস্বাভাবিক উপস্থাপনা

ভূমিকা
লালাগ্রন্থি নিওপ্লাজমগুলি অস্বাভাবিক তবে ক্লিনিকাল উপস্থাপনা, হিস্টোলজিক চেহারা এবং আচরণে তাদের উল্লেখযোগ্য পরিবর্তনের কারণে যথেষ্ট আগ্রহ তৈরি করে। এগুলি প্রধান লালা গ্রন্থি (প্যারোটিড, সাবম্যান্ডিবুলার এবং সাবলিঙ্গুয়াল) বা তথাকথিত গৌণ লালা গ্রন্থিগুলিতে উত্থিত হতে পারে, যা ছোট, প্রধানত শ্লেষ্মা নিঃসরণকারী গ্রন্থি যা উপরের বায়ুপাচক ট্র্যাক্টের মিউকোসাল আস্তরণের নীচে অবস্থিত।
লালা গ্রন্থি টিউমার যা মাথা এবং ঘাড় অঞ্চলের সমস্ত নিওপ্লাসিয়ার 3% এরও কম নিয়ে গঠিত।
- প্লিওমরফিক অ্যাডেনোমা, সৌম্য মিশ্র টিউমার নামেও পরিচিত এটি লালা গ্রন্থির সবচেয়ে সাধারণ টিউমার যা সৌম্য জাতের 60-80% জন্য দায়ী। সাবম্যান্ডিবুলার গ্রন্থি লালা গ্রন্থি টিউমারের মাত্র 5% থেকে 10% এর সাথে জড়িত এবং প্লিওমরফিক অ্যাডেনোমা (PA) হল সবচেয়ে সাধারণ টিউমার।
- এই টিউমারটি একটি সৌম্য মিশ্র টিউমার হিসাবেও পরিচিত কারণ হিস্টোলজিক্যালভাবে এগুলি মাইক্সয়েড এবং কনড্রয়েড জোনগুলির সাথে বিকল্পভাবে শক্ত টিউবুলগল্যান্ডুলার কাঠামো।
বিভিন্ন কারণে, সৌম্য লালা গ্রন্থি টিউমার সার্জন এবং তাদের রোগী উভয়ের জন্যই বিশেষ সমস্যা তৈরি করে। প্রথমত, শুরুতে, একটি সৌম্য টিউমারকে এর ম্যালিগন্যান্ট প্রতিরূপ থেকে আলাদা করার মতো কিছু নেই। নির্ণয় প্রায়শই শুধুমাত্র রিসেকশনের পরে করা হয় এবং সেই পর্যায়ে, সার্জন ইচ্ছুক হতে পারেন যে আরও বিস্তৃত পদ্ধতি গ্রহণ করা হয়েছে। দ্বিতীয়ত, সূক্ষ্ম নিডেল অ্যাসপিরেশন সাইটোলজি দ্বারা অপারেটিভ টিস্যু নির্ণয় করা কঠিন এবং প্রায়শই সিদ্ধান্তহীন হতে পারে। তালু ব্যতীত অন্য যেকোন স্থানে খোলা বায়োপসি নিষেধ করা হয় যাতে পরবর্তীতে বীজ বপন না হয়। তৃতীয়ত, প্যারোটিড গ্রন্থির মুখের স্নায়ুর সাথে টিউমারের শারীরবৃত্তীয় সম্পর্ক প্রায় সবসময়ই ঘনিষ্ঠ এবং একটি উল্লেখযোগ্য কসমেটিক প্রতিবন্ধকতার সম্ভাবনা সার্জারিকে সবচেয়ে চ্যালেঞ্জিং এবং অবশ্যই রোগীর জন্য অত্যন্ত উদ্বেগজনক করে তোলে। চতুর্থত, কিছু রোগীকে ওপেন বায়োপসি, এনউক্লিয়েশন, প্যারোটিডেক্টমির চেষ্টা বা খোলামেলা এবং ব্যাপক পুনরাবৃত্ত রোগের পরে রেফার করা হয়। 20-45% পুনরাবৃত্তি হার সহজ enucleation পরে বর্ণনা করা হয়েছে. কিছু পুনরাবৃত্ত সৌম্য টিউমারের ম্যালিগন্যান্ট রূপান্তর ভালভাবে স্বীকৃত এবং নিরাময় করা প্রায় অসম্ভব।
বিকিরণ লালা গ্রন্থি টিউমারকে প্ররোচিত করে এমন পরামর্শ দেওয়ার জন্য অনেক প্রমাণ রয়েছে। এটি প্রাথমিকভাবে দ্বিতীয় বিশ্বযুদ্ধের সময় জাপানে পরমাণু বোমা ফেলে যারা বেঁচে গিয়েছিল তাদের মহামারী সংক্রান্ত গবেষণায় প্রতিষ্ঠিত হয়েছিল।
সাম্প্রতিক বছরগুলিতে, চরম জনসাধারণের উদ্বেগ মোবাইল টেলিফোনের ব্যবহার এবং আঞ্চলিক ক্ষতিকারকতার বিকাশের উপর দৃষ্টি নিবদ্ধ করেছে। এটি পরামর্শ দেওয়া হয়েছে যে ব্রেন টিউমার এবং ইউভেল মেলানোমার জন্য তুলনামূলকভাবে বর্ধিত ঝুঁকি রয়েছে তবে, আজ পর্যন্ত, লালা গ্রন্থি টিউমারের বর্ধিত ঝুঁকি রিপোর্ট করা হয়নি।
বেশিরভাগ প্যারোটিড এবং সাবম্যান্ডিবুলার গ্রন্থি টিউমার একটি প্রতারণামূলক ফ্যাশনে বিকাশ লাভ করে, যা অন্য কোন লক্ষণ সৃষ্টি না করেই দীর্ঘ সময়ের মধ্যে ধীরে ধীরে বৃদ্ধি পায়। খুব কম সংখ্যা লালা প্রবাহে বাধা দিয়ে অস্বস্তি সৃষ্টি করে। ব্যথা অত্যন্ত অস্বাভাবিক এবং, যদি উপস্থিত থাকে তবে সাধারণত মারাত্মক পরিবর্তনের সূচনা করে। একইভাবে, মুখের দুর্বলতা বা পক্ষাঘাত কার্যত কখনও দেখা যায় না যদি না মারাত্মক পরিবর্তনটি তত্ত্বাবধান করা হয়। এই টিউমারগুলির বৃদ্ধি এত ধীর যে রোগীরা প্রায়শই মনোযোগ চাওয়ার আগে অনেক মাস বা বছর অপেক্ষা করে।
কেস রিপোর্ট
একজন 25 বছর বয়সী মহিলা যিনি একজন গৃহিণী, 6 মাস ধরে চোয়ালের হাড়ের নীচে বাম দিকের ঘাড় ফুলে গেছে যা ব্যথা বা ত্বকের পরিবর্তন ছাড়াই ধীরে ধীরে আকারে বৃদ্ধি পাচ্ছে। মাথা এবং ঘাড় অঞ্চলে দীর্ঘস্থায়ী কাশি বা অন্যান্য ফোলা জ্বরের ইতিহাস নেই। অতীতের ইতিহাসে, তিনি 4 বছর আগে সাবম্যান্ডিবুলার অঞ্চলে লালা গ্রন্থি টিউমারের জন্য একটি অস্ত্রোপচারের ইতিহাস দেন। সাবম্যান্ডিবুলার লালা গ্রন্থির প্লিওমরফিক অ্যাডেনোমা হিসাবে রিপোর্ট করা হয়েছে। কোনো দীর্ঘস্থায়ী রোগ নয়। পরীক্ষায়, দাগের উপর বাম সাবম্যান্ডিবুলার অঞ্চলে একটি 4x5 সেমি দৃঢ় রপি নোডুলার নন-টেন্ডার ফোলা ছিল। ত্বকের কোন পরিবর্তন, কোমলতা বা তাপমাত্রার স্থানীয় বৃদ্ধি। বাকি ঘাড় পরীক্ষা স্বাভাবিক ছিল। সার্ভিকাল লিম্ফ্যাডেনোপ্যাথি নেই।

লালা গ্রন্থি নিওপ্লাজম

সৌম্য মিশ্র টিউমার
সিটি স্ক্যান বাম সাবম্যান্ডিবুলার অঞ্চলে একটি ভর ক্ষত দেখায় যা সাবকুটেনিয়াস প্লেন পর্যন্ত প্রসারিত হয়। ক্ষতটির এফএনএসি করা হয়েছিল যা প্লিওমরফিক অ্যাডেনোমা হিসাবে এসেছিল।
2016 সালের জুন মাসে তিনি GA-এর অধীনে ভরের ছেদন করিয়েছিলেন। দাগ সহ ভরটি ছেদন করা হয়েছিল। হিস্টোপ্যাথলজি পরীক্ষার জন্য নমুনা পাঠানো হয়েছে।

হায়দরাবাদে গলা ক্যান্সার হাসপাতাল
জুগুলোডিগ্যাস্ট্রিক লিম্ফ নোডগুলি বিচ্ছিন্ন করে এইচপিই-এর জন্য পাঠানো হয়েছিল। তাকে অ্যান্টিবায়োটিক দেওয়া শুরু হয়েছিল।

লালা গ্রন্থি টিউমার
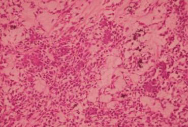
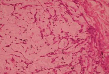
হিস্টোপ্যাথলজি নরম টিস্যুতে একাধিক সীমাবদ্ধ নোডুলার ক্ষত হিসাবে রিপোর্ট করেছে। এগুলিকে ছেদকারী কর্ড এবং ট্র্যাবেকুলাতে বিক্ষিপ্ত বহুভুজ কোষের সাথে মাইক্সয়েড লুকিং স্ট্রোমার তুলনা করা হয়। কোষের গোলাকার থেকে ডিম্বাকৃতির ব্লান্ড নিউক্লিয়াস থাকে। মাইটোসিস, নিউক্লিয়ার অ্যাটাইপিয়া দেখা যায় না। ভাস্কুলার টিউমার এম্বলি দেখা যায় না। ছাপ ছিল Pleomorphic Adenoma এর দাগ সাইট পুনরাবৃত্তি.

লালা গ্রন্থির সাধারণ টিউমার

Pleomorphic Adenoma (PA) হল সবচেয়ে সাধারণ টিউমার

ভারতের বিখ্যাত ক্যান্সার হাসপাতাল

ভারতে শীর্ষ ক্যান্সার হাসপাতাল
তিনি অস্ত্রোপচারের পরে আরামদায়ক ছিলেন এবং ফলোআপের অধীনে রয়েছেন।
আলোচনা
সাবম্যান্ডিবুলার গ্রন্থিতে উদ্ভূত টিউমারগুলি সাবম্যান্ডিবুলার ত্রিভুজের ফোলা হিসাবে উপস্থিত হয় যা মুখের মেঝেতে দ্বিমুখী প্যালপেশনের মাধ্যমে আরও সঠিকভাবে স্থানীয়করণ করা যায়। সাবম্যান্ডিবুলার গ্রন্থির পিছনের দিকে উদ্ভূত একটি টিউমারকে প্যারোটিড গ্রন্থির লেজের একটি থেকে আলাদা করা কখনও কখনও কঠিন। একটি আল্ট্রাসাউন্ড স্ক্যান হল এই পার্থক্য তৈরি করার একটি সহজ এবং দ্রুত পদ্ধতি যখন সন্দেহ থেকে যায়।

হায়দরাবাদে মাস্টার স্বাস্থ্য পরীক্ষা
পুনরাবৃত্ত টিউমারগুলি প্রায়শই একাধিক হয় এবং এই রোগের সুনির্দিষ্ট মাত্রাকে অবমূল্যায়ন করা খুব সহজ। প্রায়শই এলাকার টিস্যুগুলি দাগ পড়ে এবং সঠিকভাবে পালপেট করা কঠিন এবং টিউমারের ছোট ফোসি চিহ্নিত করা। সর্বোপরি, টিউমারের পূর্ববর্তী পারপারেটিভ ফেটে যাওয়ার ফলে অনেকগুলি পুনরাবৃত্তি ঘটে এবং চারাগুলি বিস্তৃত অঞ্চলে ছড়িয়ে থাকতে পারে।
সবচেয়ে লালাগ্রন্থি টিউমারের মতো টিউমার নির্ণয়ের জন্য ফাইন সুই অ্যাসপিরেশন বায়োপসি করা যেতে পারে। টিউমারের বীজের সম্ভাবনার কারণে এক্সিসিয়াল বায়োপসি সুপারিশ করা হয় না। ভর নির্ণয়ের জন্য আমরা এফএনএবি করি।
প্লিওমরফিক অ্যাডেনোমার স্থানীয় পুনরাবৃত্তি প্রাথমিক টিউমারের enucleation সঙ্গে সম্পর্কিত। প্লিওমরফিক অ্যাডেনোমার সিউডোপডসের কারণে এই ধরনের সার্জারি পুনরাবৃত্তির ঝুঁকিপূর্ণ। বেশ কয়েকটি তত্ত্ব পুনরাবৃত্ত প্লিওমরফিক অ্যাডেনোমার প্যাথোজেনেসিসের উপর ভিত্তি করে যেমন টিউমারের পূর্ববর্তী বিকিরণ বা অস্ত্রোপচারের হস্তক্ষেপ যা দূরবর্তী মেটাস্টেসিসের কারণ হিসাবে রক্ত প্রবাহ বা লিম্ফ্যাটিক্সে বীজ এবং অনুপ্রবেশ ঘটায়। আমরা বিশ্বাস করি যে টিউমারের সিউডোপড এবং প্রাথমিক টিউমারের বীজগুলি প্যাথলজির সম্ভাব্য কারণ।
"Pleomorphic" শব্দটি টিউমারের হিস্টোজেনেসিস এবং হিস্টোলজি উভয়কেই বোঝায়। 12 টিউমারের 3টি উপাদান রয়েছে: একটি এপিথেলিয়াল কোষের উপাদান; একটি myoepithelial কোষ উপাদান; এবং একটি স্ট্রোমাল (মেসেনকাইমাল) উপাদান। এই 3 টি উপাদানের সনাক্তকরণ, যা একটি টিউমার থেকে অন্য টিউমারে পরিমাণগতভাবে পরিবর্তিত হতে পারে, প্লোমোরফিক অ্যাডেনোমার স্বীকৃতির জন্য অপরিহার্য। প্লিওমরফিক অ্যাডেনোমা নির্ণয়ের জন্য ফাইন-নিডেল অ্যাসপিরেশন বায়োপসি করা যেতে পারে। 13 হিস্টোলজিক্যালি প্লিওমরফিক অ্যাডেনোমা একটি ঢিলেঢালা তন্তুযুক্ত স্ট্রোমাতে এপিথেলিয়ামের পরিবর্তনশীল প্যাটার্নের সাথে উপস্থাপন করে, যা মাইক্সয়েড, কনড্রয়েড বা মিউকয়েড হতে পারে। এপিথেলিয়াম সাধারণত শীট বা স্ট্র্যান্ডে সাজানো হয় এবং নালীর গঠন, প্রায়শই দ্বিস্তরযুক্ত, অ্যাটিপিকাল হয়। মায়োপিথেলিয়াল কোষগুলি প্রায়শই ফ্যাকাশে ইওসিনোফিলিক সাইটোপ্লাজম সহ বহুভুজ হয়।
প্লিওমরফিক অ্যাডেনোমাসের মাইক্সয়েড স্ট্রোমা এটির অন্যতম বৈশিষ্ট্যযুক্ত বৈশিষ্ট্য। এটি টিউমারের প্রধান অংশ গঠন করতে পারে এবং কোন ক্যাপসুলের হস্তক্ষেপ ছাড়াই স্বাভাবিক গ্রন্থি প্যারেনকাইমাতে ফুলে যেতে পারে।
বিশ্ব স্বাস্থ্য সংস্থার মতে, এই টিউমারের বৈশিষ্ট্য হিস্টোলজিক্যালভাবে সৌম্য কিন্তু দূরবর্তী বা স্থানীয় মেটাস্ট্যাসিস সম্ভব।14 অনেক প্লিওমরফিক অ্যাডেনোমাসের প্রায় মিউকয়েড প্রকৃতি তাদের অত্যন্ত ভঙ্গুর করে তোলে যাতে অপারেশনের সময় খুব সহজেই ফেটে যেতে পারে। সবচেয়ে সূক্ষ্ম হ্যান্ডলিং, যদি না স্বাভাবিক গ্রন্থি টিস্যুর একটি খাম দ্বারা সুরক্ষিত হয়। টিউমার ফেটে যাওয়া অনিবার্যভাবে অপারেটিভ ফিল্ডকে বীজ দেয় এবং এর ফলে পরবর্তীতে পুনরাবৃত্তি হতে পারে।
এই টিউমারগুলির পুনরাবৃত্তি সম্পর্কে বেশ কয়েকটি পয়েন্ট অত্যন্ত ব্যবহারিক গুরুত্বের। প্রথমত, তাদের স্পষ্ট হতে এক দশকেরও বেশি সময় লাগতে পারে; সম্ভবত যতটা
নির্ণয়ের আগে প্রাথমিক অস্ত্রোপচারের পরে 20 বছর কেটে যেতে পারে। দশ বছর পর্যন্ত রোগ-মুক্ত সময়ের উপর ভিত্তি করে নিরাময়ের দাবি, তাই, বিভ্রান্তিকর হতে পারে। দ্বিতীয়ত, পুনরাবৃত্তিগুলি সাধারণত একাধিক হয়, প্রায়শই ছেদযুক্ত দাগের মধ্যে থাকে এবং প্রায়শই একে অপরের থেকে ব্যাপকভাবে বিচ্ছিন্ন হয়। অবশেষে, পুনরাবৃত্ত টিউমারে ম্যালিগন্যান্ট পরিবর্তনের ঘটনা বেশি।15,16,17
প্লিওমরফিক অ্যাডেনোমার চিকিত্সা প্রাথমিক বা পুনরাবৃত্ত কিনা তা মূলত অস্ত্রোপচারের ছেদন 11,18-20। সাবম্যান্ডিবুলার প্লিওমরফিক অ্যাডেনোমার ছেদন সাধারণত সরাসরি অস্ত্রোপচারের কারণে সামান্য বা কোন জটিলতা ছাড়াই হয়। কিন্তু কখনও কখনও এই ছেদন যথেষ্ট নয়। প্যারোটিডের বিপরীতে যেখানে শুধুমাত্র গ্রন্থির একটি অংশ অপসারণ করা হয়, সাবম্যান্ডিবুলার গ্রন্থির সম্পূর্ণ বিচ্ছেদ সবসময় টিউমারের জন্য নির্দেশিত হয়।
অতএব, আমরা উপসংহারে পৌঁছেছি যে যখন সাবম্যান্ডিবুলার গ্রন্থি বা সাবম্যান্ডিবুলার গ্রন্থির অঞ্চলে একাধিক ভর দেখা যায়, তখন পুনরাবৃত্ত প্লিওমরফিক অ্যাডেনোমা হওয়ার সম্ভাবনা থাকে। রোগ নির্ণয়কারীর এই চরিত্রগত চেহারা সম্পর্কে সচেতন হওয়া উচিত এবং পুনরাবৃত্ত প্লোমোরফিক অ্যাডেনোমা হওয়ার সম্ভাবনা বাড়াতে হবে। আমরা পুনরাবৃত্তি এবং মেটাস্ট্যাসিস এড়াতে সাবম্যান্ডিবুলার প্লিওমরফিক অ্যাডেনোমাস এবং প্যারোটিড প্লিওমরফিক অ্যাডেনোমাসের উপরিভাগের প্যারোটিডেক্টমির উপর মোট সাবম্যান্ডিবুলার গ্রন্থি ছেদনের গুরুত্বের উপর জোর দিই।
তথ্যসূত্র:
- EvesonJW, Cawson লালা গ্রন্থি টিউমার: হিস্টোলজিক্যাল ধরন, বয়স এবং লিঙ্গ বন্টন বিশেষ উল্লেখ সহ 2410 টি ক্ষেত্রে একটি পর্যালোচনা। জে পথোল। 1985; 146:51-8।
- স্পাইরো আরএইচ স্যালিভারি নিউওপ্লাজম: 35 হেড নেক সার্জ 2,807; 1986:8- 177 সহ 184 বছরের অভিজ্ঞতার ওভারভিউ।
- রসন এজে, হাওয়ার্ড জেএম, লালা গ্রন্থির রয়স্টার টিউমার। 160 টি ক্ষেত্রে একটি ক্লিনিকোপ্যাথলজিকাল স্টাডি। ক্যান্সার 1950; 3: 445-8।
- ম্যাকফারল্যান্ড লালাগ্রন্থির তিনশ মিশ্র টিউমার যার মধ্যে ৬৯টি পুনরাবৃত্ত হয়েছে। সার্জারি, গাইনোকোলজি এবং প্রসূতিবিদ্যা 69; 1936: 88-457।
- স্টেইন আই, প্যারোটিড গ্রন্থির গেশিকটার টিউমার। সার্জারির আর্কাইভস 1934; 28: 482-526।
- KrollsSO, Boyers লালা গ্রন্থির মিশ্র টিউমার: দীর্ঘমেয়াদী ফলো-আপ। ক্যান্সার 1972; 30: 276-81।
- বেনেডিক্টইজি, প্যারোটিড গ্রন্থির মেইগস টিউমার। 225 টি ক্ষেত্রে সম্পূর্ণ শেষ ফলাফল সহ 80 টি ক্ষেত্রে একটি অধ্যয়ন। সার্জারি, গাইনোকোলজি এবং প্রসূতিবিদ্যা 1930; 51: 626-47।
- লালা গ্রন্থির কাঠ মিশ্রিত টিউমার। অ্যানালস অফ সার্জারী 1904; 39: 57
- কুন্ডি এম, মাইল্ড কে, হার্ডেল এল, ম্যাটসন এমও। মোবাইল টেলিফোন এবং ক্যান্সার - এপিডেমিওলজিকাল জার্নাল অফ টক্সিকোলজি এবং এনভায়রনমেন্টাল হেলথের একটি পর্যালোচনা। পার্ট বি, সমালোচনামূলক পর্যালোচনা। 2004; 7: 351-84।
- Hardell L, Hallquist A, Hansson Mild K, Carlberg M, GertzenH, Schildt EB এবং সেলুলার বা কর্ডলেস টেলিফোন এবং লালা গ্রন্থি টিউমার ব্যবহারের মধ্যে কোনো সম্পর্ক নেই। পেশাগত এবং পরিবেশগত ঔষধ। 2004; 61: 675-9
- Giurana RJ, Rodado C, Saez M, Bassas C (2000) প্যারাফ্যারিঞ্জিয়াল স্পেস জড়িত জায়ান্ট প্যারোটিডপ্লোমোরফিক অ্যাডেনোমা: জে ওরাল ম্যাক্সিলোফ্যাক সার্গ 58: 1184-7 এর রিপোর্ট।
- কন্ডো প্যারোটিড গ্রন্থিতে লিপোম্যাটাস প্লিওমরফিক অ্যাডেনোমার একটি কেস: একটি কেস রিপোর্ট। ডায়াগনস্টিক প্যাথলজি 2009; 4:16-18।
- Rodriguez KH, Vargas S, Caroline R, Perez-Atayde A, ShambergerR, McGill TJ, এবং শিশুদের মধ্যে প্যারোটিড গ্রন্থির Pleomorphic adenoma. Int J Ped Otorhinolaryngeology 2007; 71: 1717-23।
- নুরাই এসএআর, ফার্গুসন এমএস, ক্লার্ক পিএম, স্যান্ডিসন এ, স্যান্ডুজিএস, এট (2006) মেটাস্টেসাইজিং প্লিওমরফিক লালা অ্যাডেনোমা। আর্চ ওটোলারিনগোল হেড নেক সার্গ 132: 788-93।
- PiekarskiJ, Nejc D, Szymczak W, Wronski K, Jeziorski প্যারোটিড গ্রন্থির প্লিওমরফিক অ্যাডেনোমার এক্সট্রাক্যাপসুলার ডিসেকশনের ফলাফল। ওরাল এবং ম্যাক্সিলোফেসিয়াল সার্জারির জার্নাল। 2004; 62: 1198-202।
- স্টেনার্ট ই, উইটকিন্ড সি, ক্লুসম্যান জেপি, আর্নল্ড জি গুন্টিনাস-লিচিয়াস। প্যারোটিড গ্রন্থির পুনরাবৃত্ত প্লোমোরফিক অ্যাডেনোমা: একটি সম্ভাব্য হিস্টোপ্যাথোলজিকাল এবং ইমিউনোহিস্টোকেমিক্যাল ল্যারিঙ্গোস্কোপ। 2004; 114: 158- 63।
- ম্যাক্সওয়েল, হল এফটি, প্যারোটিড গ্রন্থির ফ্রিম্যান রেকারেন্ট প্লিওমরফিক অ্যাডেনোমা। Otolaryngology জার্নাল। 2004; 33: 181-4।
- Batsakis JG, Sneige N (1989) প্যাথলজি পরামর্শ: প্যারাফ্যারিঞ্জিয়াল এবং রেট্রোফ্যারিঞ্জিয়াল স্পেস ডিজিজ। Ann OtolRhinol Laryngol 98:320-1.
- Hugues KV III, Olsen KD, MacCafferey TV (1995) Parapharyngealspace Head Neck 17:124-30.
- ভার্গিস বিটি, সেবাস্টিয়ান পি, আব্রাহাম ইকে, ম্যাথিউস এ (2003) প্যারাফ্যারিঞ্জিয়াল ওয়ার্ল্ড জে সার্গ অনকল 1: 2-এ মাইনর লালা গ্রন্থির প্লিওমরফিক অ্যাডেনোমা।
লেখক সম্পর্কে-
ডাঃ নগেন্দ্র মহেন্দ্র, কনসালটেন্ট ইএনটি সার্জন, যশোদা হাসপাতাল, হায়দ্রাবাদ.
DLO, DNB (ENT)
তার দক্ষতার মধ্যে রয়েছে মাইক্রো কানের সার্জারি, ফোনো সার্জারি / এম, এন্ডোস্কোপিক সার্জারি, এন্ডোস্কোপিক স্কাল বেস সার্জারি এবং কসমেটিক সার্জারি, মাথা ও ঘাড় সম্পর্কিত সার্জারি সহ স্কাল বেস সার্জারি এবং ল্যারিঙ্গোট্র্যাচিয়াল সার্জারি।



এপয়েন্টমেন্ট
কল
অধিক