পুনরাবৃত্ত সাইনোনাসাল হেম্যানজিওপেরিসাইটোমার একটি বিরল ঘটনা

বিমূর্ত
হেম্যানজিওপেরিসাইটোমাস নরম টিস্যু সারকোমাসের একটি বিরল প্রকার। এগুলি সাধারণত রেট্রোপেরিটোনিয়াম, পেলভিক ফোসা এবং কঙ্কালের পেশীগুলিতে ঘটে। সাইনোনাসাল হেম্যানজিওপারিসাইটোমাস খুবই বিরল এবং সমস্ত ক্ষতের পাঁচ শতাংশেরও কম গঠন করে। সাহিত্যে খুব কম ক্ষেত্রেই রিপোর্ট করা হয়েছে। রোগের কোর্সের অনিশ্চয়তা এবং সাইনোনাসাল ধরনের হেম্যানজিওপেরিসাইটোমাসের হিস্টোপ্যাথলজিকাল উপস্থিতিতে চিহ্নিত পার্থক্য চিকিত্সক এবং প্যাথলজিস্ট উভয়কেই আগ্রহী করেছে। পুনরাবৃত্তির তুলনামূলকভাবে উচ্চ হার, যা কয়েক বছর বা কখনও কখনও কয়েক দশক ধরে ঘটতে পারে, রোগীর আজীবন ফলোআপের নিশ্চয়তা দেয়। আমরা বারবার সিনোনাসাল হেম্যানজিওপেরিসাইটোমার এমন একটি বিরল ঘটনা উপস্থাপন করি।
ভূমিকা
হেম্যানজিওপেরিসাইটোমাস হল বিরল ভাস্কুলার টিউমার যা কৈশিকের এন্ডোথেলিয়াম বিনিয়োগকারী পেরিসাইট থেকে উদ্ভূত হয়। তারা মানুষের মধ্যে নরম টিস্যু সারকোমাগুলির 2-3% প্রতিনিধিত্ব করে। তাদের মধ্যে 15-25% মাথা এবং ঘাড় অঞ্চলে ঘটে যার মধ্যে 50% সাইনোনাসাল অঞ্চলে ঘটে। সাইনোনাসাল এইচপিসিগুলির বেশিরভাগই সৌম্য এবং একটি চমৎকার দীর্ঘমেয়াদী পূর্বাভাস রয়েছে। কিন্তু স্থানীয় পুনরাবৃত্তির সম্ভাবনা 40% এবং দূরবর্তী মেটাস্ট্যাসিসের 15% সম্ভাবনা রয়েছে। পর্যাপ্ত মার্জিন সহ অস্ত্রোপচারের ছেদনই চিকিৎসার মান। যেহেতু দীর্ঘস্থায়ী রোগ-মুক্ত বিরতির পরে স্থানীয় পুনরাবৃত্তি বা দূরবর্তী বিস্তার ঘটতে পারে, তাই রোগীদের আজীবন অনুসরণ করা অপরিহার্য। আমরা নাক এবং প্যারানাসাল সাইনাসের হেম্যানজিওপেরিসাইটোমার এমন একটি বিরল ক্ষেত্রে রিপোর্ট করি।
কেস রিপোর্ট
57 সালে একজন 2005 বছর বয়সী মহিলা আমাদের কাছে এসেছিলেন এক মাস ধরে ডান নাকের ছিদ্র থেকে রক্তপাত এবং ডান উপরের এবং নীচের চোখের পাতা ফুলে যাওয়া, প্রগতিশীল নাকের বাধা এবং তিন দিন ধরে বমি করা। 1999 সালে ডান অনুনাসিক ভর কেটে ফেলার জন্য বাইরে কার্যকরী এন্ডোস্কোপিক সাইনাস সার্জারির একটি ইতিহাস ছিল। তার অন্য কোনো চিকিৎসাগত রোগ ছিল না। পরীক্ষা-নিরীক্ষায় তার নাকের ডরসাম চওড়া হয়ে গেছে। একটি ভঙ্গুর ভর ডান অনুনাসিক গহ্বর ভরাট করছিল। স্পর্শে রক্তক্ষরণ হচ্ছিল। বাকি ইএনটি পরীক্ষা স্বাভাবিক ছিল। ক্ষত থেকে একটি বায়োপসি নেওয়া হয়েছিল এবং HPE ফলাফলগুলি উল্টানো প্যাপিলোমার ইঙ্গিত দেয়। এপ্রিল 2005 সালে তিনি পার্শ্বীয় রাইনোটমি এবং ভরের ছেদন করিয়েছিলেন। ইন্ট্রা-অপারেটিভভাবে ভরটি ডান নাকের ছাদ থেকে ডান কক্ষপথে প্রসারিত হতে দেখা গেছে। ক্রিব্রিফর্ম প্লেটটি ক্ষয়প্রাপ্ত এবং ডুরা ক্রিব্রিফর্ম এবং স্ফেনয়েড এলাকায় উন্মুক্ত ছিল। নিকৃষ্ট টারবিনেটের শ্লেষ্মা দিয়ে ডিহিসেন্ট এলাকাটি কলম করা হয়েছিল। রোগীকে স্থিতিশীল অবস্থায় ছেড়ে দেওয়া হয়েছিল এবং তাকে তার নিজের শহরে একজন ইএনটি সার্জন দ্বারা অনুসরণ করা হয়েছিল।
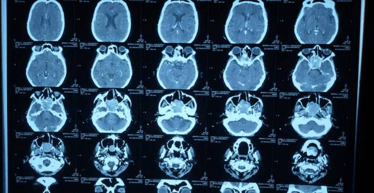
2012 সালের অক্টোবরে তিনি আমাদের কাছে ফিরে এসেছিলেন, ধীরে ধীরে প্রগতিশীল ডান-পার্শ্বযুক্ত নাক ব্লক, ফুসফুস অনুনাসিক স্রাব এবং মাঝে মাঝে 2-বছরের মাথাব্যথার অভিযোগ করেছিলেন। এপিস্ট্যাক্সিস বা অন্যান্য ইএনটি অভিযোগের কোন ইতিহাস ছিল না। পরীক্ষায়, নাকের ডান দিকে মসৃণ পৃষ্ঠ ভরাট করে একটি বড় ভর ছিল, স্পর্শে রক্তপাত হয়নি। এবং একটি স্থূল DNS বাম. মস্তিষ্কের এমআরআইতে দেখা গেছে যে একটি মিশ্র তীব্র ক্ষত মাথার খুলির স্ফেনয়েড, ইথময়েড সাইনাস এবং সেলা এবং ক্লিভাসের অংশে অনুপ্রবেশ করে। সমস্ত রুটিন রক্ত এবং প্রস্রাব তদন্ত স্বাভাবিক ছিল. ক্ষতের বায়োপসি ইনভার্টেড প্যাপিলোমার পুনরাবৃত্তির পরামর্শ দিয়েছে। তিনি টিউমারের এন্ডোস্কোপিক ডিবুলিং করান। HPE এই সময় hemangiopericytoma পরামর্শ ছিল.
তিনি প্রথমে যশোদা হাসপাতালে ওপি হিসাবে এবং পরে স্থানীয় ইএনটি-এর সাথে অনুসরণ করেছিলেন। দুই বছর পর তার আমাদের সফরের সময় পুনরাবৃত্তির কোনো প্রমাণ পাওয়া যায়নি। এখন তিনি এপ্রিল মাসে আমাদের কাছে উপস্থাপন করেছিলেন যে এক সপ্তাহের জন্য ডান দিকের নাক দিয়ে রক্তপাত হচ্ছে। DNE ডানদিকে একটি অনিয়মিত মসৃণ পৃষ্ঠ ভাস্কুলার ভর দেখিয়েছে। CT PNS অনুনাসিক গহ্বরের পিছনের অংশে নরম টিস্যু ভর দেখায় যা ছাদ পর্যন্ত প্রসারিত হয় (ক্রিব্রিফর্ম প্লেট) এবং উপরে স্ফেনয়েড সাইনাস এবং নীচে নাসোফ্যারিনক্স পূরণ করে। তাকে রেডিওথেরাপি বিভাগে রেফার করা হয়েছিল যেখানে তাকে মস্তিষ্ক এবং কক্ষপথের নৈকট্যের কারণে IMRT-এর পরামর্শ দেওয়া হয়েছিল।
আলোচনা
হেম্যানজিওপেরিসাইটোমাস হল অস্বাভাবিক নরম টিস্যু টিউমার যা রক্তনালীগুলির চারপাশে অবস্থিত জিমারম্যান পেরিসাইট থেকে উদ্ভূত হয়। এগুলি সাধারণত পেলভিক ফোসা, উরু, রেট্রোপেরিটোনিয়াম, কঙ্কালের পেশীতে ঘটে। অন্যান্য সাইটগুলি হল মাথার ত্বক, মুখ, ঘাড়, প্যারোটিড গ্রন্থি, কক্ষপথ এবং কদাচিৎ অন্তঃসত্ত্বা, লালা গ্রন্থি এবং স্বরযন্ত্র, মেনিঞ্জেস। সাইনোনাসাল এইচপিসি অত্যন্ত বিরল (সমস্ত ক্ষতের 5% এর কম)। সাহিত্যে মাত্র 200টি কেস রিপোর্ট করা হয়েছে। HPC প্রথম 1942 সালে Stout এবং Murray দ্বারা রিপোর্ট করা হয়েছিল। 1949 সালে Stout দ্বারা প্রথম অনুনাসিক হেম্যাঙ্গিওপারিসাইটোমা রিপোর্ট করা হয়েছিল।
এটি প্রাথমিকভাবে প্রাপ্তবয়স্কদের একটি টিউমার এবং শিশু এবং শিশুদের মধ্যে এটি বিরল। সর্বোচ্চ ঘটনা ষষ্ঠ দশকে এবং পুরুষ ও মহিলাদের মধ্যে সমানভাবে ঘটে। সাইনোনাসাল ক্ষতগুলি সাধারণত এথময়েড এবং স্ফেনয়েড সাইনাসের সাথে জড়িত। তাদের মধ্যে বেশিরভাগই সৌম্য এবং 70% এর সামগ্রিক দশ বছরের বেঁচে থাকার হারের সাথে খুব ভাল পূর্বাভাস রয়েছে। দূরবর্তী মেটাস্টেসিস প্রায় 15% রোগীর মধ্যে ঘটে যেখানে স্থানীয় পুনরাবৃত্তির 7-50% সম্ভাবনা রিপোর্ট করা হয়েছে। পুনরাবৃত্তির গড় সময় ছয় থেকে সাত বছর, তবে মামলাগুলি 30 বছর পর্যন্ত রিপোর্ট করা হয়েছে। দূরবর্তী মেটাস্টেসিস সাধারণত ফুসফুস এবং হাড়ের উচ্চ-গ্রেডের ক্ষতগুলির সাথে ঘটে, সাধারণত লিভার এবং লিম্ফ নোডগুলিতে কম হয়।
রোগীদের সাধারণত নাক ব্লক বা এপিস্ট্যাক্সিস বা উভয়ই থাকে এবং কখনও কখনও নাকে ব্যথা এবং মাথাব্যথা এবং দৃষ্টিশক্তির ব্যাঘাত ঘটে। অন্যান্য সারকোমার মতো, তারা IGF1 এবং IGF2 নিঃসরণের কারণে হাইপোগ্লাইসেমিয়া সহ উপস্থিত হতে পারে। ক্লিনিক্যালি, নরম থেকে দৃঢ় সামঞ্জস্যের একটি একতরফা রাবারি পলিপয়েডাল ভর দেখা যেতে পারে, দেখতে ট্যান বা ধূসর বা সাদা বা রক্তনালী হতে পারে। আঞ্চলিক লিম্ফ নোড জড়িত বিরল। তাই প্রাথমিক উপস্থাপনা প্রায়ই অনুনাসিক পলিপ হিসাবে ভুল হয়। সিটি স্ক্যান একটি একতরফা ননক্যালসিফাইড নরম টিস্যু ছায়া দেখায় মাঝে মাঝে হাড়ের ক্ষয় হয়। ভাস্কুলার প্রকৃতি CECT দ্বারা নিশ্চিত করা যেতে পারে।
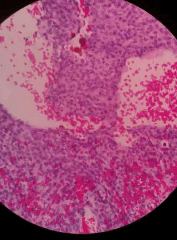
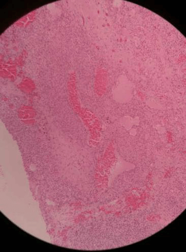
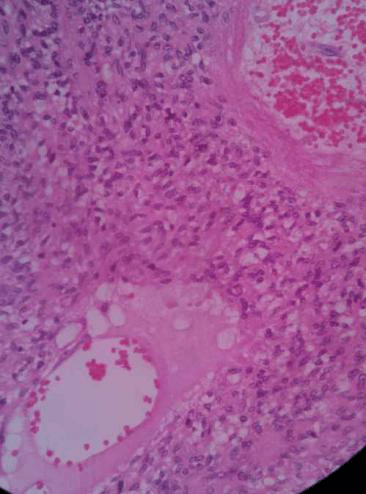
হিস্টোপ্যাথলজিকাল পরীক্ষা দ্বারা নির্ণয় করা হয়। এইচপিই বৃত্তাকার মোটা বা টাকু-আকৃতির কোষ সহ অসংখ্য স্ট্যাগহর্ন টাইপ ব্রাঞ্চিং ভাস্কুলার চ্যানেল দেখায়। টিউমারগুলি হিস্টোপ্যাথলজিকাল বৈশিষ্ট্য দ্বারা নিম্ন গ্রেড, মধ্যবর্তী গ্রেড এবং টিউমার সেলুলিটি, মাইটোটিক ফিগার, নিউক্লিয়ার অ্যাটিপিয়া, রক্তক্ষরণ এবং নেক্রোসিসের উপর ভিত্তি করে উচ্চ গ্রেডে পরিণত হতে পারে। উচ্চ-গ্রেডের ক্ষত দূরবর্তী মেটাস্টেসিসের সম্ভাবনা বেশি। এইচপিই-এর উপস্থিতিতে চিহ্নিত পরিবর্তনের কারণে, এইচপিসিগুলিকে গ্লোমাস টিউমার, অ্যাঞ্জিওসারকোমা, ফাইব্রাস হিস্টিওসাইটোমা, লিম্ফোমা, হেমেনজিওএন্ডোথেলিওমা এবং স্কোয়ানোমা হিসাবে ভুল নির্ণয় করা যেতে পারে। মাথা এবং ঘাড়ের টিউমারের 2005 WHO শ্রেণীবিভাগ অনুসারে, সাইনোনাসাল এইচপিসিগুলিকে গ্লোমাস টিউমারের সাথে তাদের মিলের কারণে গ্লোম্যানজিওপেরিসাইটোমা হিসাবে উল্লেখ করা যেতে পারে। ইমিউনোহিস্টোকেমিস্ট্রি ভিমেন্টিন ইতিবাচকতা দেখায়। খুব কমই তারা মসৃণ পেশী অ্যাক্টিন, ডেসমিন এবং S-100 ইতিবাচকতা দেখাতে পারে।
ডিফারেনশিয়াল ডায়াগনোসিসের মধ্যে রয়েছে পলিপ, ইনভার্টেড প্যাপিলোমা, ম্যালিগন্যান্সি, ছত্রাকজনিত রোগ, মিউকোকোয়েলস, ডার্ময়েড সিস্ট, এনসেফালোকোয়েলস, মেনিনজিওমা, অ্যাঞ্জিওফাইব্রোমা, কনড্রোমা, ফাইব্রো-ওসিয়াস ক্ষত। ক্ষত তুলনামূলকভাবে রেডিওরেসিস্ট্যান্ট হওয়ায় পর্যাপ্ত মার্জিন সহ অস্ত্রোপচারের ছেদনই চিকিৎসার মান। যখন একটি টিউমার কঠোরভাবে ইন্ট্রানাসাল গহ্বর বা এথময়েড বা স্ফেনয়েড সাইনাসের মধ্যে সীমাবদ্ধ থাকে তখন এটি এন্ডোস্কোপিক পদ্ধতির মাধ্যমে অপসারণ করা যেতে পারে। DNS রোগীদের ক্ষেত্রে, বড় উচ্চ রক্তনালী টিউমার, মস্তিষ্কে প্রসারিত ক্ষত, কক্ষপথ বা pterygopalatine fossa এন্ডোস্কোপিক অপসারণ সম্ভব নয়। পার্শ্বীয় রাইনোটমি পদ্ধতি প্রায়শই ব্যবহৃত হয়। রেডিওথেরাপি এবং কেমোথেরাপি সীমিত সাফল্য আছে। মেটাস্ট্যাটিক ক্ষতগুলিতে কেমোথেরাপি ব্যবহার করা যেতে পারে। Adriamycin হল সবচেয়ে বেশি ব্যবহৃত এজেন্ট। অ্যাক্টিনোমাইসিন ডি, সাইক্লোফসফামাইড, মেথোট্রেক্সেট এবং ভিনক্রিস্টিনও ব্যবহার করা হয়।
উপসংহার
সাইনোনাসাল হেম্যানজিওপেরিসাইটোমাস খুবই বিরল টিউমার। রোগের কোর্সের অনিশ্চয়তা এবং নাক এবং প্যারানাসাল সাইনাস অঞ্চলে বিরলতা চিকিত্সক এবং প্যাথলজিস্ট উভয়ের জন্যই আগ্রহী। ক্লিনিকাল উপস্থাপনা এবং রেডিওলজিকাল ফলাফলগুলি অস্পষ্ট হওয়ায় HPE ফলাফলের উপর ভিত্তি করে রোগ নির্ণয় করা হয়। চিকিত্সার মান হল এন্ডোস্কোপিক পদ্ধতি বা পার্শ্বীয় রাইনোটমি দ্বারা অস্ত্রোপচারের ছেদন। রেডিওথেরাপি এবং কেমোথেরাপির সাফল্যের হার সীমিত। যেহেতু দীর্ঘস্থায়ী রোগ-মুক্ত ব্যবধানের পরে পুনরাবৃত্তি ঘটতে পারে, তাই রোগীকে সারাজীবন অনুসরণ করা অপরিহার্য।
লেখক সম্পর্কে-
ডাঃ নগেন্দ্র মহেন্দ্র, কনসালটেন্ট ইএনটি সার্জন, যশোদা হাসপাতাল, হায়দ্রাবাদ.
DLO, DNB (ENT)
তার দক্ষতার মধ্যে রয়েছে মাইক্রো কানের সার্জারি, ফোনো সার্জারি / এম, এন্ডোস্কোপিক সার্জারি, এন্ডোস্কোপিক স্কাল বেস সার্জারি এবং কসমেটিক সার্জারি, মাথা ও ঘাড় সম্পর্কিত সার্জারি সহ স্কাল বেস সার্জারি এবং ল্যারিঙ্গোট্র্যাচিয়াল সার্জারি।


এপয়েন্টমেন্ট
WhatsApp
কল
অধিক