ফ্লুরোস্কোপি গাইডেড রিমুভাল অফ ডিসলোজড IV ক্যানুলা শ্যাফট

পটভূমি
55 বছর বয়সী একজন পুরুষকে তীব্র জ্বরজনিত অসুস্থতার জন্য বাইরের হাসপাতালে ভর্তি করা হয়েছিল। ব্যবস্থাপনার 1 সপ্তাহ পরে, রোগীকে স্রাবের জন্য পরিকল্পনা করা হয়েছিল। স্রাবের আগে IV ক্যানুলা অপসারণের সময়, ক্যানুলাটি দুর্ঘটনাবশত কেটে যায় এবং এর প্লাস্টিকের খাদ রোগীর শিরাস্থ সিস্টেমে বিচ্ছিন্ন হয়ে যায়। ক্যানুলা শ্যাফ্ট অপসারণের জন্য রোগীকে আমাদের হাসপাতালে রেফার করা হয়েছিল।
রোগ নির্ণয় ও চিকিৎসা
থোরাক্সের সিটি স্ক্যান করা হয়েছিল যা ডান অবরোহী পালমোনারি ধমনীর অগ্রবর্তী সেগমেন্টাল শাখায় ক্যানুলা টিপটি বিচ্ছিন্ন হয়ে গেছে। IV ক্যানুলা শ্যাফ্ট অপসারণের জন্য রোগীর কার্ডিওথোরাসিক অস্ত্রোপচারের পরিকল্পনা করা হয়েছিল। অস্ত্রোপচারের আগে, ইন্টারভেনশনাল রেডিওলজিস্টের মতামত নেওয়া হয়েছিল, এবং রোগীকে ফ্লুরোস্কোপি নির্দেশিত অপসারণের জন্য নেওয়া হয়েছিল।
ফ্লুরোস্কোপিক গাইডেন্সের অধীনে, ক্যানুলার ডগাটি ডান অবরোহী পালমোনারি ধমনীর পূর্ববর্তী সেগমেন্টাল শাখায় একটি রৈখিক ফিলিং ত্রুটি হিসাবে চিহ্নিত করা হয়েছিল। পরের দিন রোগীকে ছেড়ে দেওয়া হয়
IV ক্যানুলার প্রক্সিমাল রেসিডুয়াল হাব
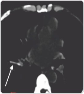
রৈখিক হাইপারডেন্স ফরেন বডি ডান অবরোহী ফুসফুসীয় ধমনীর অগ্রবর্তী সেগমেন্টাল শাখায় উদ্ভাসিত
ফাঁদ এবং পথনির্দেশক ক্যাথেটার সহ বিচ্ছিন্ন পেরিফেরাল ইন্ট্রাভেনাস ক্যানুলা
ক্যানুলা টিপ পোস্ট পুনরুদ্ধার
লেখক সম্পর্কে-
ডাঃ সুরেশ গিরাগানি, কনসালট্যান্ট নিউরো অ্যান্ড ইন্টারভেনশনাল রেডিওলজিস্ট, যশোদা হাসপাতাল - হায়দ্রাবাদ
এমডি (রেডিওলজি), ডিএম (নিউরোডিওলজি)
নিউরো হস্তক্ষেপ, হেপাটোবিলিয়ারি হস্তক্ষেপ, শিরাস্থ, পেরিফেরাল ভাস্কুলার হস্তক্ষেপ এবং ক্যান্সারের যত্নে হস্তক্ষেপগুলিকে কভার করে ভাস্কুলার হস্তক্ষেপের ব্যাপক এবং বিস্তৃত পরিসরে বিশেষায়িত।
লেখক সম্পর্কে-
ডাঃ হরি কিষাণ গনুগুন্টলা, কনসালটেন্ট ইন্টারভেনশনাল পালমোনোলজিস্ট, যশোদা হাসপাতাল, হায়দ্রাবাদ
এমডি, ডিএম (পালমোনোলজি মেডিসিন), ইন্টারভেনশনাল পালমোনোলজিতে ফেলোশিপ (এনসিসি, জাপান)


















এপয়েন্টমেন্ট
কল
অধিক