এন্ডোস্কোপিক আল্ট্রাসাউন্ড গাইডেড হেপাটিকো - গ্যাস্ট্রোস্টমি

পটভূমি
অগ্ন্যাশয়ের মাথার ম্যালিগন্যান্সির জন্য হুইপলের অস্ত্রোপচারের এক বছর পরে একজন 50 বছর বয়সী ব্যক্তি জন্ডিসে আক্রান্ত হন। হেপাটিকো-জেজুনোস্টোমি সাইট সংকুচিত হওয়ার কারণে একটি বারবার ঘা ছিল।
রোগ নির্ণয় ও চিকিৎসা
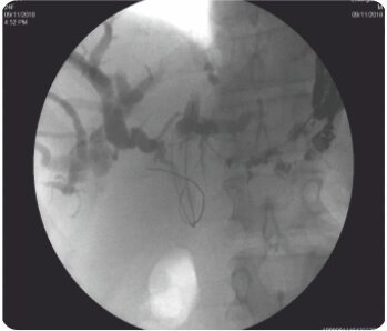
লিভারের দ্বিতীয় অংশে IHBRD এর EUS নির্দেশিত পাংচার পাকস্থলী থেকে করা হয়েছিল এবং কোলাঞ্জিওগ্রামের পরে, সিস্টোটোম ব্যবহার করে ট্র্যাক্টটি 10F পর্যন্ত ধারাবাহিকভাবে প্রসারিত করা হয়েছিল এবং পেট এবং লিভারের দ্বিতীয় অংশের সাথে সংযোগকারী একটি 60×10 মিমি সম্পূর্ণরূপে আবৃত বিলিয়ারি ধাতব স্টেন্ট স্থাপন করা হয়েছিল। ধাতব স্টেন্টের স্থানচ্যুতি রোধ করার জন্য ধাতব স্টেন্টের ভিতরে একটি 7F 7 সেমি ডাবল পিগটেল প্লাস্টিক স্টেন্ট স্থাপন করা হয়েছিল। কোনও পেরিপ্রোসিডেরাল জটিলতা ছিল না এবং বিলিরুবিনের স্বাভাবিকীকরণের পরে রোগীকে কেমোথেরাপি করা হয়েছিল। পদ্ধতির 3 মাস পরে ফলো-আপের সময়, রোগীর LFT স্বাভাবিক ছিল।
পেট থেকে IHBRD এর EUS নির্দেশিত খোঁচা
চোলাঞ্জিওগ্রাম
সিস্টোটোমের সাথে ট্র্যাক্টের প্রসারণ
FCSEMS প্লেসম্যান
ভিতরে অ্যাপ্লাস্টিক স্টেন্ট সহ FCSEMS

















এপয়েন্টমেন্ট
WhatsApp
কল
অধিক