এন্ডোস্কোপিক আল্ট্রাসাউন্ড গাইডেড কোলেডোচো - ডুওডেনোস্টমি

পটভূমি
একজন 55 বছর বয়সী মহিলা মেটাস্ট্যাটিক প্যানক্রিয়াটিক হেড ম্যালিগন্যান্সি এবং অবস্ট্রাক্টিভ জন্ডিসে আক্রান্ত। ডুওডেনাল অনুপ্রবেশ লক্ষিত হয়েছিল যার ফলে লুমিনাল সংকীর্ণ হয় (ডুওডেনোস্কোপ নিয়ে আলোচনা করা যায়নি)।
রোগ নির্ণয় ও চিকিৎসা
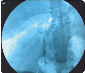
CBD এর EUS নির্দেশিত পাংচার ডুডেনামের প্রথম অংশ থেকে করা হয়েছিল। কোল্যাঞ্জিওগ্রামের পরে, ট্র্যাক্টটি সিস্টোটোম দিয়ে ক্রমান্বয়ে 10 ফারেনহাইট পর্যন্ত প্রসারিত করা হয়েছিল এবং একটি 60x10 মিমি সম্পূর্ণ আচ্ছাদিত বিলিয়ারি স্টেন্ট স্থাপন করা হয়েছিল যা D1 এবং CBD এর সাথে সংযোগ স্থাপন করে। একটি 7F 7cm ডবল পিগটেল প্লাস্টিক বিলিয়ারি স্টেন্ট মেটাল স্টেন্টের মধ্যে স্থাপন করা হয়েছিল যাতে এর স্থানচ্যুতি রোধ করা হয়। কোন পেরিপ্রোসিডারাল জটিলতা ছিল না। এক সপ্তাহের মধ্যে তার বিলিরুবিন স্বাভাবিক হয়ে যায় এবং তাকে কেমোথেরাপি করা হয়।
CBD এবং cholangiogram এর EUS নির্দেশিত পাংচার
choledochoduodenostomy with a FCSSEMS (সম্পূর্ণভাবে আচ্ছাদিত স্ব-প্রসারিত ধাতব স্টেন্ট)
D1-এ FCSEMS-এর সাথে প্লাস্টিক স্টেন্ট

















এপয়েন্টমেন্ট
কল
অধিক