ব্রঙ্কিয়াল আর্টারি এমবোলাইজেশন এবং ব্রঙ্কাসের স্ফিগট সন্নিবেশ

পটভূমি
50 বছর বয়সী অ্যালকোহলিক রোগী ব্যাপক হেমোপটিসিস সহ উপস্থাপিত। শ্বাসনালী সুরক্ষার প্রয়োজনে রোগীকে জরুরি অবস্থায় ইনটিউবেশন করা হয়েছিল।
রোগ নির্ণয় ও চিকিৎসা
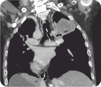
থোরাসিক এনজিওগ্রাম সহ CT বুকে হাইপারট্রফিড কোলাটারাল ধমনী সহ দ্বিপাক্ষিক গহ্বরের ক্ষত প্রকাশ করে যা প্রধানত ডান উপরের লোব গহ্বর সরবরাহ করে। FOB করা হয়েছে ডান উপরের লোব ব্রঙ্কাস থেকে সক্রিয় রক্তপাত দেখায়।
ডান উপরের লোবের অগ্রভাগের ওয়াটানাবে স্ফিগট অক্লুশন + ডান এপিকাল এবং পোস্টেরিয়র সাব সেগমেন্টের আঠালো ইনস্টিলেশন এবং ব্রঙ্কিয়াল আর্টারি এমবোলাইজেশন করা হয়েছিল।
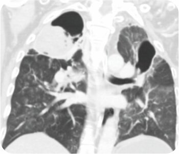
প্রাক পদ্ধতি সিটি স্ক্যান
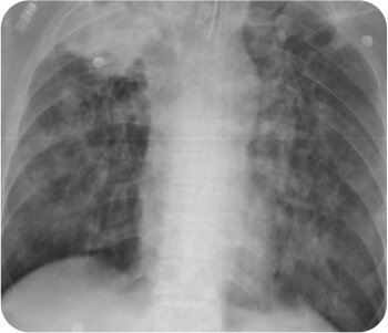
প্রাক প্রক্রিয়া এক্স-রে
প্রাক পদ্ধতি সিটি স্ক্যান
সিটি থোরাসিক এনজিওগ্রাফ
সক্রিয় হেমোপটিসিস
ডান উপরের ব্রঙ্কাসে স্ফিগট বসানো
ডান উপরের লোব ব্রঙ্কাসে স্ফিগট বসানো
ডান উপরের লোব ব্রঙ্কাসে আঠালো স্থাপন
লেখক সম্পর্কে-
ডাঃ বিশ্বেশ্বরন বালাসুব্রমানিয়ান, কনসালটেন্ট ইন্টারভেনশনাল পালমোনোলজি অ্যান্ড স্লিপ মেডিসিন, যশোদা হাসপাতাল, হায়দ্রাবাদ
এমডি, ডিএনবি, ডিএম (পালমোনারি-গোল্ড মেডেল), ফেলোশিপ ইন স্লিপ মেডিসিন (গোল্ড মেডেলিস্ট), ফেলোশিপ ইন ইন্টারভেনশনাল পালমোনোলজি (মালয়েশিয়া)





















এপয়েন্টমেন্ট
WhatsApp
কল
অধিক