ধমনী থোরাসিক আউটলেট সিন্ড্রোমের কেস

পটভূমি
24 বছর বয়সী লোকটি ডানদিকে দ্বিতীয় আঙুলের ডগায় গ্যাংগ্রিনের তীব্র সূচনা হয়েছিল।
রোগ নির্ণয় ও চিকিৎসা
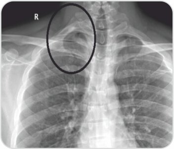
মূল্যায়নে তার ডান সম্পূর্ণ সার্ভিকাল রিব সহ ধমনী থোরাসিক আউটলেট সিন্ড্রোম পাওয়া গেছে। তাকে প্রাথমিকভাবে অ্যান্টিকোঅ্যাগুলেশন দিয়ে পরিচালিত করা হয়েছিল এবং পরে থোরাসিক আউটলেট ডিকম্প্রেশনের জন্য নেওয়া হয়েছিল। ইন্ট্রাঅপারেটিভভাবে রোগীর স্কেলিন পেশী হাইপারট্রফি এবং একটি সম্পূর্ণ জরায়ুর পাঁজর একটি বিস্তৃত প্রথম পাঁজরের সাথে মিশে গেছে যা সাবক্ল্যাভিয়ান ধমনী সংকোচন ঘটায়। ডিকম্প্রেশন পদ্ধতি অনুসরণ করে রোগীর একটি সফল ফলাফল ছিল।
জরায়ুর মুখ এবং প্রথম পাঁজর কাটা
লেখক সম্পর্কে-
ডাঃ প্রকাশ গৌরা, কনসালটেন্ট ভাস্কুলার সার্জন, যশোদা হাসপাতাল - হায়দ্রাবাদ
এমবিবিএস, ডিএনবি (জেনারেল সার্জারি), এমআরসিএস (ইংল্যান্ড), এমসিএইচ (ভাস্কুলার সার্জারি)

















এপয়েন্টমেন্ট
WhatsApp
কল
অধিক