হেপাটাইটিস-এ সংক্রমণের জটিলতা হিসাবে তীব্র সূচনা কোয়াড্রিপ্লেজিয়া

পটভূমি
একটি 14 বছর বয়সী ছেলেকে হঠাৎ ঘাড়ে ব্যথা শুরু হওয়ার ইতিহাস সহ জরুরি বিভাগে আনা হয়েছিল, বিছানা থেকে ওঠার পর পিত্তহীন বমি হওয়ার একটি পর্ব এবং তারপরে নীচের এবং উপরের অঙ্গগুলির দুর্বলতা যা ট্রাঙ্কাল এবং শ্বাসযন্ত্রের পেশী দুর্বলতায় পরিণত হয়েছিল। ঘন্টার. তিনি বুকের উপরের অংশে সংবেদন এবং প্রস্রাব ধরে রাখার মতো আঁটসাঁট ব্যান্ডের কথা জানিয়েছেন। মাথাব্যথা, খিঁচুনি বা পরিবর্তিত সেন্সরিয়ামের কোন ইতিহাস ছিল না। ট্রমা বা বাহ্যিক রক্তপাতের কোনো ইতিহাস নেই। 14 দিন আগে তার জন্ডিস সহ জ্বরের ইতিহাস ছিল, স্থানীয় হাসপাতালে মূল্যায়ন করা হয়েছিল এবং ভাইরাল হেপাটাইটিস এ হিসাবে নির্ণয় করা হয়েছিল; তাকে লক্ষণগতভাবে চিকিত্সা করা হয়েছিল এবং ইক্টেরাসের সাথে স্থিতিশীল হেমোডাইনামিক্যাল অবস্থায় তাকে ছেড়ে দেওয়া হয়েছিল।
ক্লিনিকাল পরীক্ষা
পরীক্ষায়, রোগীকে পরিমিতভাবে নির্মিত এবং পুষ্ট করা হয়েছিল। গুরুত্বপূর্ণ হল নাড়ির হার 104/মিনিট, রক্তচাপ 110/70 মিমি Hg ডান বাহুতে, শ্বাসযন্ত্রের হার 30/মিনিট, Spo2 98% ঘরের বাতাসে, তাপমাত্রা 99 ডিগ্রি ফারেনহাইট। একক শ্বাসের সংখ্যা (SBC) ছিল 8। সাধারণ পরীক্ষায় দেখা গেছে গভীর ইক্টেরাস, কার্ডিওভাসকুলার পরীক্ষা এবং বুকের ধ্বনি লক্ষণীয় নয় এবং পেট নরম ছিল। স্নায়বিক পরীক্ষায় তিনি সচেতন ছিলেন, খিটখিটে ছিলেন, আদেশ পালন করেন, ছাত্ররা দ্বিপাক্ষিক 2 মিমি আলোতে প্রতিক্রিয়া দেখায়, কোন নাইস্টাগমাস, স্বাভাবিক ফান্ডাস, কোন মুখের দুর্বলতা এবং অন্যান্য ক্র্যানিয়াল স্নায়ু পরীক্ষা সম্পূর্ণ স্বাভাবিক ছিল। তিনি মাধ্যাকর্ষণ শক্তির বিরুদ্ধে ঘাড় তুলতে পারছিলেন না। সমস্ত 4টি অঙ্গের শক্তি হাইপোটোনিয়া সহ গ্রেড 1/5 ছিল এবং এক্সটেনসর প্লান্টারগুলির সাথে ডিটিআর অনুপস্থিত ছিল। সংবেদনশীল স্তর T5/T6 স্তরে ছিল এবং তার প্রস্রাব ধারণ ছিল।
রোগ নির্ণয় ও চিকিৎসা
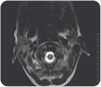
মস্তিষ্কের সাথে পুরো মেরুদণ্ডের এমআরআই দীর্ঘ সেগমেন্টের পূর্ববর্তী এপিডুরাল সংগ্রহ প্রকাশ করেছে যা T2-তে হাইপারিনটেন্স এবং T1-এ হাইপোইনটেন্স ছিল যার লেয়ারিং C2 থেকে D8 স্তর পর্যন্ত প্রসারিত হয়েছে যার ফলে সার্ভিকাল এবং ডোরসাল কর্ডের পশ্চাৎ স্থানচ্যুতি এবং কম্প্রেশন-সম্ভাব্য রক্তক্ষরণ, পোস্টেরিয়র প্যারাস্পাইনাল নরমের মৃদু মচন। সার্ভিকাল অঞ্চলে টিস্যু লক্ষ্য করা গেছে। ল্যাবরেটরি তদন্তে Hb7.5gr%, TLC11, 700/mm3, প্লেটলেট 2.92lakhs/mm3, Rbs 96 mg/dl, সিরাম ক্রিয়েটিনিন 0.5mg%, Bl.urea 37.0 mg%, Serum Na+ 128, S.K, S.3.6+93.0। Cl- 21.90 meq/l মোট বিলিরুবিন 13.70 মিলিগ্রাম% (সরাসরি 8.20 পরোক্ষ 254) SGPT 180u/l SGOT 265.00 u/l Alk ফসফেটেস 6.00, মোট প্রোটিন 2.80 g% (Alb.3.20b.68.0%), 8.0b%। PT 86.8 সেকেন্ড INR > 2.62, APTT 7 সেকেন্ড। HAV IgM অ্যান্টিবডি পজিটিভ: 3; HBsAg, HBeAg, HCV, HIV: প্রতিক্রিয়াশীল নয়; ANA প্রোফাইল নেতিবাচক ছিল। তাকে নিবিড় পরিচর্যা ইউনিটে ভর্তি করা হয়েছিল এবং প্যারেন্টেরাল ভিটামিন কে ইনজেকশন এবং ভেন্টিলেটরি সাপোর্টিভ কেয়ার সহ 3 ইউনিট এফএফপি, 6টি পিআরবিসি পেয়েছিলেন। নিউরো সার্জারির পরামর্শের পরে C2-C5 ল্যামিনোপ্লাস্টি এবং ভর্তির 15 দিনে হেমাটোমা সরিয়ে নেওয়া হয়। 2 তম দিনে, ট্র্যাকিওস্টোমি করা হয়েছিল এবং ধীরে ধীরে ভেন্টিলেটর ছাড়ানো হয়েছিল। পুনর্বাসন কেন্দ্রে বিপ্যাপের সহায়তায় 2.90 তারিখে তাকে ছেড়ে দেওয়া হয়েছিল। কোয়াড্রিপ্লিজিয়া স্রাবের সময় উপরের অঙ্গে গ্রেড 157 শক্তি এবং মোট বিলিরুবিন 68 mg/dl, SGPT 2, SGOT XNUMXu/l সহ টিকে ছিল। দুই সপ্তাহের ফলো-আপে তিনি স্পাস্টিক কোয়াড্রিপ্লেজিয়া - সমস্ত অঙ্গে গ্রেড XNUMX শক্তি, স্থিতিশীল হেমোডায়নামিক্স এবং স্বাভাবিক লিভার ফাংশন পরীক্ষায় আরও উন্নতি করেছেন।
উপসংহার
হেপাটাইটিস এ থেকে স্নায়বিক জটিলতা খুবই বিরল, যার মধ্যে রয়েছে এনসেফালাইটিস, মেনিনগোয়েনসেফালাইটিস, মেনিনজাইটিস, গুইলেন-বারে সিন্ড্রোম, ক্রনিক ইনফ্ল্যামেটরি ডিমাইলিনেটিং পলিরাডিকুলোনোরোপ্যাথি, সেন্সরি নিউরোপ্যাথি, মনোনিউরোপ্যাথি সিমপ্লেক্স এবং মাল্টিপ্লেক্স, মায়াস্থেনিয়া গ্র্যাভিস, ট্রান্সফ্যালিটাইটিস এবং মায়। কোয়াড্রিপ্লেজিয়া শুরু হওয়ার সময় আমাদের রোগীর লিভারের কার্যকারিতা পরীক্ষা এবং কোগুলোপ্যাথির সুস্পষ্ট পরীক্ষাগারের প্রমাণ ছিল। হেপাটাইটিস A-এর সহায়ক ইমেজিং প্রমাণ এবং ইতিবাচক সেরোলজির পরিপ্রেক্ষিতে ভাইরাল হেপাটাইটিস A-এর জটিলতা হিসাবে স্বতঃস্ফূর্ত মেরুদণ্ডের এপিডুরাল হেমাটোমা প্ররোচিত কোগুলোপ্যাথির চূড়ান্ত নির্ণয় করা হয়েছিল।
লেখক সম্পর্কে-
ডাঃ কিরণ কুমার ভার্মা
এমবিবিএস, এমডি, এমইএম, ডিইএম
পরামর্শদাতা জরুরী চিকিৎসক,
যশোদা হাসপাতাল, মালাকপেট
















এপয়েন্টমেন্ট
কল
অধিক