زرع الصمام الأبهري عبر القسطرة (TAVI) – الحالة-2

مناقشة
لقد أصبح TAVI بديلاً قابلاً للتطبيق لـ AVR الجراحي في الممارسة الحالية. نحن نشارك تجربتنا في ثلاث حالات في مجموعات معرضة للخطر وتشريحات مختلفة. تم إجراء الحالة الأولى تحت التخدير العام مع توجيه صدى القلب عبر المريء، وتم إجراء الحالات اللاحقة تحت التخدير الواعي باستخدام تخطيط صدى القلب عبر الصدر. جميع المرضى الثلاثة في حالة جيدة بعد شهر واحد من المتابعة.
حالة 2
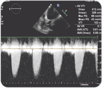
سيدة تبلغ من العمر 66 عامًا، تعاني من ارتفاع ضغط الدم، وتم تقييم ضيق التنفس الجهدي من الدرجة الثانية وتبين أنها مصابة بتضيق شديد في الأبهر، Sievers 0 bicuspid. كشف CAG عن الشرايين التاجية الطبيعية. تم إجراء عملية TAVI بنجاح تحت التخدير الواعي باستخدام جهاز Evolute R الممتد ذاتيًا مقاس 23 مم دون أي مضاعفات.
نبذة عن الكاتب -
الدكتور برامود كومار ك، استشاري أمراض القلب التداخلية، مستشفى ياشودا، حيدر أباد
دكتوراه في الطب (أمراض القلب)، دكتوراه في الطب، FACC، FESC


















احجز موعدك
اتصل
المزيد