التشوه الشرياني الوريدي الرئوي المتكرر يتم علاجه عن طريق الانصمام

نبذة عامة
مريضة تبلغ من العمر 40 عامًا تعاني من ضيق في التنفس منذ 8 سنوات مع ألم صدري متقطع غير جنبي.
فحص طبي بالعيادة
عند الفحص تبين أن بنية المريض وتغذيته معتدلة. كانت العناصر الحيوية هي معدل النبض 104/دقيقة، وضغط الدم 110/70 ملم زئبق في الذراع اليمنى، ومعدل التنفس 30/دقيقة، وSpo2 98% في هواء الغرفة، ودرجة الحرارة 99 درجة فهرنهايت. وكان عدد التنفس الفردي (SBC) 8. أظهر الفحص وجود يرقان عميق، وكان فحص القلب والأوعية الدموية وتسمع الصدر غير ملحوظ وكان البطن ناعمًا. في الفحص العصبي، كان واعيًا، وسريع الانفعال، ومطيعًا للأوامر، وكان تلاميذه ثنائيين يتفاعلون مع الضوء بمقدار 2 ملم، ولا يوجد رأرأة، وقاع طبيعي، ولا يوجد ضعف في الوجه، وكان فحص الأعصاب القحفية الأخرى طبيعيًا للغاية. لم يكن قادرًا على رفع رقبته ضد الجاذبية. كانت القوة في جميع الأطراف الأربعة من الدرجة 4/1 مع نقص التوتر وكانت DTRs غائبة مع أخمص القدم الباسطة. كان المستوى الحسي عند مستوى T5/T5 وكان يعاني من احتباس البول.
الفحص والتشخيص
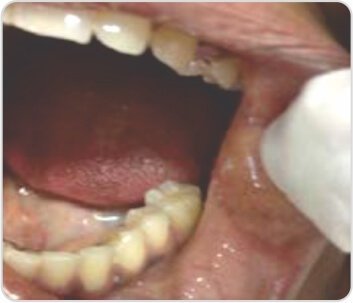
عند الفحص، كان المريض مستقرًا من الناحية الديناميكية الدموية بمعدل نبض قدره 90 في الدقيقة، وضغط دم يبلغ 140/90 ملم زئبق وتشبع بالأكسجين بنسبة 90٪ على مقياس التأكسج النبضي الذي يُمسك بالإصبع. أظهر فحص تجويف الفم توسع الشعيرات الدموية عن طريق الفم، وعند سماع الثدي الأيمن ومنطقة داخل الكتف اليمنى، تم سماع لغط خافت. كانت فحوصات البطن والعصبية طبيعية. وأظهرت التحقيقات أن الهيموجلوبين يبلغ 12.1 جم/ديسيلتر، وحجم الخلايا المعبأة 56%؛ عدد خلايا الدم البيضاء 9,400 لكل ملم مكعب (متعددة الأشكال 79%، خلايا ليمفاوية 17%، حمضات 2%، قاعدة 2%). وكانت المعلمات البيوكيميائية الأخرى ضمن الحدود الطبيعية. أظهر مخطط كهربية القلب (ECG) عدم انتظام دقات القلب الجيبي مع انحراف المحور الأيمن وموجة R في V1. نظرًا لأن المريض كان يعاني من عدة نوبات من الرعاف والاشتباه في حدوث انسداد رئوي، فقد خضع المريض لتصوير مقطعي محوسب للصدر وتصوير الأوعية الدموية الرئوية. كشف تصوير الأوعية الرئوية عن تمدد الأوعية الدموية الكاذب مع ناسور شرياني وريدي ناشئ عن فروع الشرايين الرئوية اليمنى.
علاج
تم تنفيذ سرقة اللف. أظهر تصوير الأوعية الدموية بعد اللف استبعاد 90٪ من تمدد الأوعية الدموية الكاذب من الدورة الدموية. تحسن المريض بعد العملية. أظهر تحليل غازات الدم الشرياني درجة الحموضة 7.430، PCO2-38.5، PO2-64.7، SaO2-87.3 وHCO3-25. بقي المريض بدون أعراض لمدة أسبوعين بعد العلاج بالصمام. ولوحظ ضيق التنفس المجهد والرعاف بسبب التشوه الشرياني الوريدي الثاني وتم تكرار العلاج بالصمام. يظل المريض الآن بدون أعراض لمدة 2 أشهر بعد العلاج بالصمام.
مناقشة
أوسلر-ويبر-ريندو هو مرض وراثي جسمي سائد، وقد يؤثر على جزء صغير من الأوعية الدموية الموجودة على سطح الجلد والغشاء المخاطي والأعضاء. تشمل المظاهر السريرية نزيف الأنف، وتوسع الشعريات الجلدية، والصداع أو اللغط في التشوه الشرياني الوريدي الدماغي، وألم في الصدر أو ضيق التنفس في PAVM، أو مالينا أو تغوط دموي في توسع الشعريات المخاطية المعوية. التشخيص هو الدور الرئيسي لعلاج الإجراءات الجراحية أو غير الجراحية. خيارات العلاج الجراحي هي الانصمام أو سدادة بالون السيليكون. بشكل عام، في غالبية الحالات، تم إجراء الانصمام. أيضًا، في حالتنا، كان حجم الآفة أقل من 2 سم، وهو مرشح مثالي للعلاج بالانصمام.
توسع الشعريات عن طريق الفم
التشوه الشرياني الوريدي الرئوي
استبعاد 90% من تمدد الأوعية الدموية الكاذب من الدورة الدموية بعد اللف
نبذة عن الكاتب -
الدكتور أ. جورو براكاش، استشاري أمراض القلب التداخلية، مستشفى ياشودا، حيدر أباد
دكتوراه في الطب ، DM (أمراض القلب)

















احجز موعدك
اتصل
المزيد