EBUS-TBNA لتشخيص مرض السل / الساركويد

نبذة عامة
امرأة تبلغ من العمر 42 عامًا تعاني من شكاوى رئيسية تتمثل في السعال الجاف والحمى المنخفضة الدرجة وضيق التنفس وعدم الراحة في الصدر منذ شهر واحد مع عدم وجود تاريخ لفقدان الوزن أو الشهية.
التشخيص والعلاج
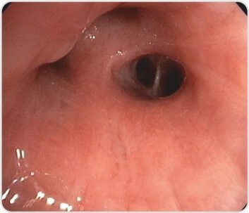
تُظهر الأشعة السينية للصدر اتساعًا فائقًا للمنصف. يُظهر التصوير المقطعي للصدر تضخم العقد اللمفية المنصفية مع عقدة مجاورة للرغامى العلوية اليمنى بقياس 2*3 سم، وتظهر حمة الرئة عقيدات انشطارية. تم إجراء EBUS TBNA تحت التخدير العام وكان اختبار ROSE (الفحص السريع في الموقع) إيجابيًا بالنسبة للالتهاب الحبيبي غير المسبب للحالة. تم إجراء تنظير القصبات في وقت واحد والذي أظهر وجود غشاء مخاطي عقيدي يوحي بوجود الساركويد.
تبين أن عينة EBUS TBNA الخاصة بـ AFB Smear وGENEXPERT- MTB كانت إيجابية. السل الذي يظهر مع أورام حبيبية غير متجانسة وعقيدات شقية أمر نادر وغير نمطي.

الشكل 1: الغشاء المخاطي الصحي

الشكل 2: الغشاء المخاطي عقيدية

الشكل 3: الغشاء المخاطي الصحي

الشكل 4: الغشاء المخاطي عقيدية

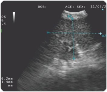
الشكل 5: حجم العقدة الليمفاوية العقدة المجاورة للرغامى (4R)

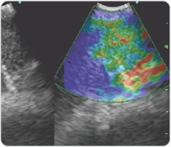
الشكل 6: تصوير العقدة المجاورة للرغامى - العقدة من النوع 2

الشكل 7: العقدة المجاورة للرغامى EBUS – TBNA













احجز موعدك
اتصل
المزيد